День открытых дверей ClearCorrect - Грета Орто
Грета Орто
CLEARCORRECT

День открытых
дверей ClearCorrect

16 мая, суббота. Санкт-Петербург

−57 550 ₽ на лечение

скидка 15 000 ₽ на курс +
орточек 42 550 ₽ в подарок

до Дня открытых дверей осталось:

00
дней
00
часов
00
минут
00
секунд
Записаться через Telegram

Официальный партнёр ClearCorrect — Straumann Group, Швейцария

Врач

Что входит в бесплатную консультацию

Приём ортодонта

30 минут, обсуждение запроса и осмотр.

Интраоральный скан

безопасный, без слепков.

Орточек — 3D-модель Smile

Визуализация улыбки (обычно 42 550 ₽, сегодня 0 ₽).

Выгода 42 550 ₽

Персональный план

с точным сроком исправления прикуса.

Расчёт стоимости

с учётом скидки 15 000 ₽.

Подарок ClearCorrect

фирменная брошюра и мерч клиники.

Швейцарский бренд с 18-летним опытом

01

Straumann Group

более 70 лет в эстетической стоматологии. 100+ стран.

02

ClearCorrect с 2006 г

18+ лет опыта, самая проверенная система элайнеров на рынке РФ.

03

Материал ClearQuartz®

трёхслойный полимер последнего поколения, не желтеет, не царапает.

Ваши врачи на Дне открытых дверей

Реальные результаты ClearCorrect

До
До
После
После

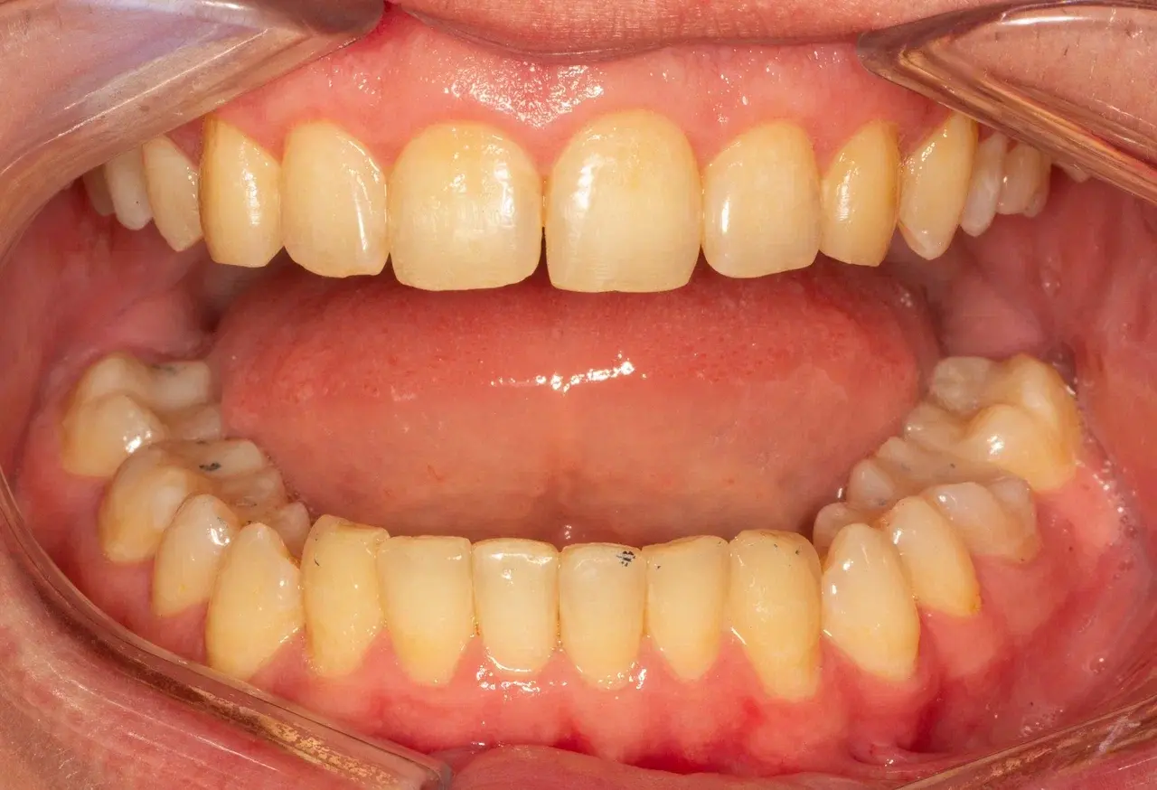
Скученность

Исправили положение зубов за 10 месяцев.

Фото ClearCorrect, д-р Костина
До
До
После
После

Промежутки

Устранили тремы и диастемы за 12 месяцев.

Фото ClearCorrect, д-р Костина
До
До
После
После

Глубокий прикус

Комплексная работа над функциональностью и эстетикой.

Фото ClearCorrect, д-р Костина

Частые вопросы

Элайнеры эффективны для исправления большинства случаев скученности, промежутков и нарушений прикуса. Окончательный ответ даст врач после сканирования 16 мая.
Это система прозрачных индивидуальных капп, каждая из которых постепенно перемещает зубы в нужное положение в соответствии с цифровым планом.
Лечение возможно с момента полной смены молочных зубов на постоянные (обычно с 12-14 лет).
Обычно контрольный визит требуется один раз в 6-8 недель для контроля процесса.
Срок зависит от сложности случая и варьируется от 6 до 18 месяцев.
Это значительно комфортнее брекетов. Небольшое давление может ощущаться только в первые дни.
Во время еды каппы нужно снимать. Это позволяет сохранить привычный рацион.
Да, при условии соблюдения этапа ретенции (ношения ретейнера) по окончании курса.
Made on
Tilda